Este site utiliza cookies

Dados necessários para melhorar nosso serviço e personalizar a sua experiência.

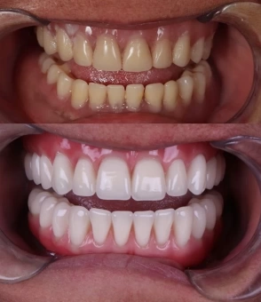
Implantes dentários

Além de proporcionarem uma solução duradoura, os implantes dentários também ajudam a preservar a saúde bucal como um todo. Ao ocuparem o espaço deixado pelos dentes perdidos, evitam o deslocamento dos dentes vizinhos e a reabsorção óssea, um problema comum em casos de perda dentária. Dessa forma, os implantes não só restauram a funcionalidade e a autoestima do paciente, como também contribuem para a manutenção da estrutura óssea e do alinhamento dental.

Vantagens dos Implantes


  • Estética natural: Os implantes proporcionam um resultado visual muito parecido com os dentes naturais, melhorando o sorriso e a autoestima.

  • Preservação óssea: Evitam a reabsorção do osso alveolar, um processo comum após a perda dentária, ajudando a manter a estrutura facial.

  • Durabilidade e estabilidade: Com os cuidados adequados, os implantes podem durar muitos anos, oferecendo uma solução fixa e estável.

Como funciona o procedimento?


1. Avaliação e planejamento:
O dentista realiza uma avaliação completa com exames clínicos e radiográficos (como raio-X ou tomografia) para analisar a estrutura óssea e planejar a colocação do implante com precisão. Nessa fase, também se verifica a saúde geral do paciente e a necessidade de enxertos ósseos, se houver perda óssea significativa.

2. Colocação do implante:
Em um procedimento cirúrgico, o pino de titânio é inserido no osso onde estava a raiz do dente perdido. Após a colocação, é necessário aguardar de 3 a 6 meses para que ocorra a osseointegração — processo em que o osso se funde ao implante, garantindo firmeza e estabilidade.

3. Instalação da prótese:
Com o implante já integrado ao osso, é fixada uma prótese dentária sobre ele, que pode ser uma coroa unitária, ponte ou prótese total. Essa etapa finaliza o tratamento, devolvendo ao paciente a função mastigatória, a estética do sorriso e o conforto ao falar.

Cuidados Pós-Tratamento


Após a colocação de um implante dentário, é essencial adotar cuidados específicos para garantir uma boa cicatrização e o sucesso do tratamento. Nos primeiros dias, recomenda-se evitar esforço físico, não mastigar alimentos duros na região operada e seguir rigorosamente as orientações do dentista quanto à medicação e higiene bucal. A escovação deve ser delicada, e o uso de antisséptico bucal pode ser indicado para ajudar a prevenir infecções. Além disso, é importante comparecer às consultas de acompanhamento para que o profissional monitore a osseointegração e a recuperação geral do paciente.


Confira a galeria de
sorrisos desse tratamento

Ver galeria com todos os tratamentos

Agende uma consulta e renove o seu sorriso!

Entre em contato e descubra como
podemos transformar o seu sorriso.
Preencha o formulário ou ligue para nós
para agendar uma consulta com nossos
especialistas.

Imagem contato Imagem contato