Este site utiliza cookies

Dados necessários para melhorar nosso serviço e personalizar a sua experiência.

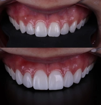
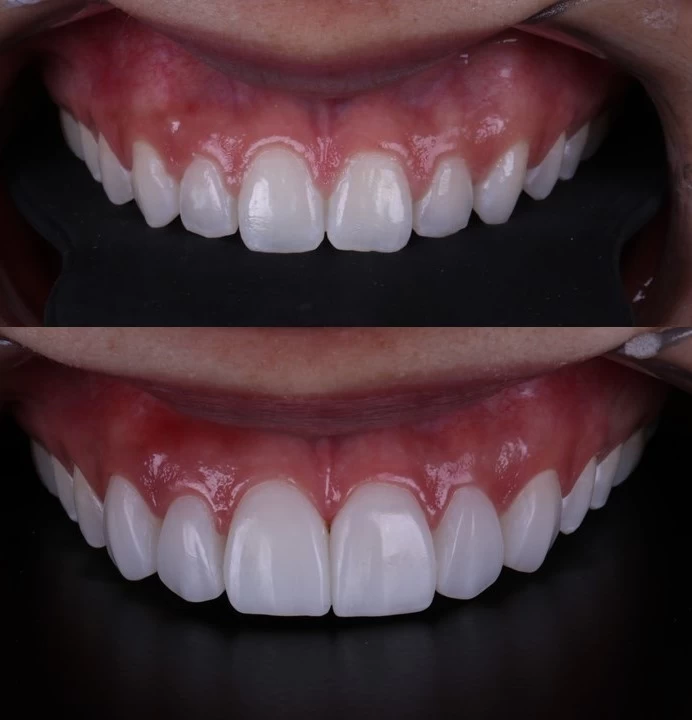
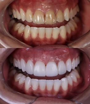
Facetas em resina composta

As facetas em resina são uma solução estética rápida, minimamente invasiva e acessível para transformar o sorriso. Por meio da aplicação de resina diretamente sobre os dentes, é possível corrigir formato, tamanho, pequenas manchas, desgastes e espaços. O procedimento é realizado em poucas consultas, sem desgaste significativo, proporcionando um sorriso harmônico, natural e alinhado ao seu rosto,

Vantagens das Facetas de Porcelana:


  • Estética Natural: As facetas de porcelana oferecem um acabamento impecável, com um aspecto altamente natural, que se assemelha ao esmalte dental.
  • Durabilidade e Resistência: Com uma estrutura resistente, as facetas possuem longa durabilidade, suportando o desgaste do dia a dia.
  • Solução Rápida e Eficiente: O procedimento é menos invasivo do que outras alternativas, como coroas, e pode ser concluído em poucas consultas.
  • Melhora na Confiança: Ao corrigir imperfeições estéticas, as facetas de porcelana proporcionam um sorriso mais harmônico, trazendo confiança para o seu dia a dia.

Como Funciona o Procedimento?


  1. Avaliação Inicial: Realizamos uma avaliação detalhada para entender as necessidades do seu sorriso e definir o melhor plano de tratamento.
  2. Desenho e Planejamento: Com o auxílio de tecnologia avançada, desenhamos a faceta ideal para cada dente, garantindo que o resultado final seja natural e harmonioso.
  3. Aplicação: Após a modelagem, as facetas são aplicadas de forma precisa e cuidadosa, proporcionando um sorriso perfeito.

Cuidados Pós-Tratamento


Após o procedimento, é importante manter uma boa higiene oral e realizar as consultas de acompanhamento para garantir a longevidade das facetas.

Se você deseja um sorriso mais branco, alinhado e saudável, as facetas de porcelana podem ser a solução ideal para você. Agende uma consulta com nossa equipe e descubra como podemos transformar o seu sorriso!


Confira a galeria de
sorrisos desse tratamento

Ver galeria com todos os tratamentos

Agende uma consulta e renove o seu sorriso!

Entre em contato e descubra como
podemos transformar o seu sorriso.
Preencha o formulário ou ligue para nós
para agendar uma consulta com nossos
especialistas.

Imagem contato Imagem contato